Протезирование зубов: виды и методы протезирования, фото

Протезирование зубов

Обновлено 11 апреля 2025 г.

Стоматологии, в которых возможно протезирование

Содержание:

Протезирование зубов – это замена утраченных зубов искусственными конструкциями. В зависимости от показаний, пожеланий клиента и клинического случая протезирование осуществляется различными методами, каждый из которых имеет свои преимущества и недостатки.

Виды зубных протезов

Методы протезирования отличаются в первую очередь используемыми для протезирования конструкциями. Все протезы делятся на две большие группы – съемные и несъемные. Также отдельно выделяются протезы на имплантатах.

ВАЖНО: все подготовительные к протезированию мероприятия, вплоть до обточки зубов, можно осуществить бесплатно по медицинскому полису. Качество таких услуг, правда, зачастую не очень высокое, как и качество льготных и бесплатных протезов.

Съемные

Съемные протезы – это протезы, которые пациент может снимать самостоятельно. Они делятся на три группы:

  • Полные съемные протезы. Это пластинчатые конструкции из акриловых пластмасс или нейлона, которые применяются при полном отсутствии зубов. Крепятся они за счет эффекта присасывания
  • Частично-съемные протезы – применяются, когда отсутствует один или несколько зубов рядом. К частично-съемным относятся иммедиат-протезы (временные протезы из пластмассы), недорогие пластинчатые конструкции, бюгельные протезы (наиболее дорогие, зато боелее удобные и долговечные). Последние протезы применяются чаще всего. Крепятся они при помощи специальных металлических крючков, или атттачментов – неподвижной жесткой конструкции. Опорой, как правило, служат здоровые зубы
  • Условно-съемные, или покрывные протезы. Их ставят вместо одного жевательного зуба. Такие протезы крепятся к зубу пластмассовыми/металлическими кламмерами или специальными составами. Снимать такие протезы для ухода, в отличие от вышеперечисленных, не нужно, хотя это и возможно

Несъемные

Несъемные зубные протезы – это конструкции, которые нужно носить постоянно – они прочно закреплены во рту. Обычно такие протезы ставят людям молодого и среднего возраста, так как у несъемных протезов больше противопоказаний. Зато они намного удобнее, чем съемные.

Виды несъемных зубных протезов

Постоянные несъемные зубные протезы бывают следующими:

  • Частичные протезы или микропротезы, такие как накладки на зубы (виниры) или вкладки, заменяющие пломбу
  • Одиночные коронки
  • Мостовидные протезы

Микропротезы применяются, если зуб разрушен частично – чтобы устранить крупные дефекты зуба или сделать зуб визуально более белым.

Одиночную коронку ставят, если зуб разрушен практически полностью – даже если от зуба остался только корень, можно поставить коронку с культевой вкладкой.

Мостовидный протез ставится, если один или несколько зубов подряд отсутствуют полностью. В этом случае ставится мост, по краям которого находятся накладные коронки, которые надеваются на здоровые зубы по краям дефекта. Зубы при этом приходится обтачивать, хотя сейчас используются максимально щадящие технологии.

Материалы несъемных зубных протезов

Несъемные зубные протезы изготавливаются из различных материалов:

  • Пластмасса. Применяется очень редко для временного протезирования
  • Металл. Литые и штампованные коронки из различных сплавов весьма прочные и долговечные, а также недорогие, но абсолютно неэстетичны
  • Металлокерамика – металлические коронки, покрытые сверху керамикой. Весьма прочные, и достаточно эстетичные
  • Цельная керамика – самые эстетичные коронки, но гораздо менее прочные
  • Диоксид циркония – наиболее современный материал, очень эстетичный и одновременно чрезвычайно прочный

ВАЖНО: Цены на протезирование зубов сильно зависят от материала протезов. Как правило, дешевле всего обходятся съемные протезы – даже нейлон будет стоить не очень дорого. Несъемные протезы тоже стоят по-разному, в зависимости от конструкции и используемого материала – дешевле всего обойдется металл, подороже – металлокерамика, и еще дороже – цельная керамика или оксид циркония.

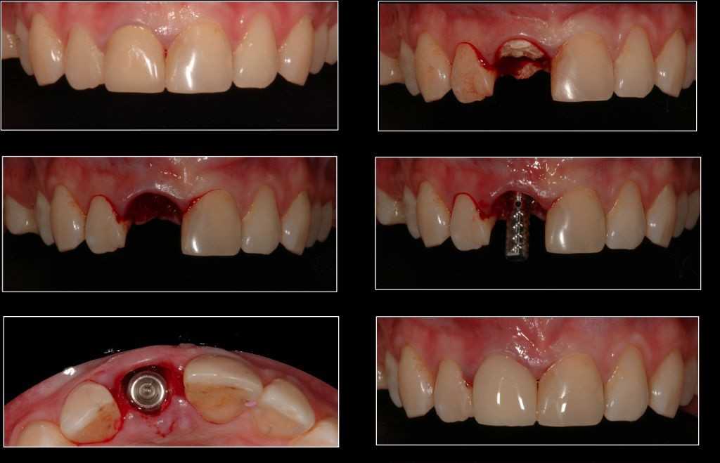
Протезы на имплантатах

Протезирование на имплантатах – это, по сути, разновидность несъемного протезирования. Его суть в том, что перед установкой протеза в челюсть вживляется один или несколько имплантатов из титана. Имплантаты заменяют зубные корни и служат опорой для протеза, то есть соседние зубы при имплантации остаются нетронутыми.

На имплантаты можно поставить:

  • Единичную коронку, которая заменит один отсутствующий зуб
  • Мостовидный протез для замены группы зубов
  • Полный протез челюсти. В этом случае протез на имплантатах будет частично-съемным. Фиксация полного протеза на имплантатах гораздо более удобная. Обычно для полного протеза требуется вживить от 6 имплантатов в разные места челюсти

Имплантаты делают из гипоаллергенного титана, который со временем срастается с челюстной костью и становится полной заменой зубного корня. При правильном уходе имплантаты могут служить своему владельцу долгие годы.

Протезы буду печатать на 3D принтере

Технологии 3D печати все сильнее проникают в нашу жизнь. 3D печать уже не раз применяли в общем протезировании, однако при протезировании зубов она раньше была недоступна. Это было связано с тем, что не было подходящего материала, который бы был достаточно защищен от воздействия бактерий в области рта.

Недавно эта проблема была решена – в полимеры, которые применяются при зубопротезировании, стали добавлять антимикробные четвертичные аммониевые соли. После помещения этой смеси в 3D-принтер ее закаливают ультрафиолетом, и в итоге получаются протезы, вполне подходящие для применения стоматологами. Новые «антибактериальные зубы» сразу же проверили – их покрыли слюной и кариозными бактериями. В итоге новый зуб уничтожил около 99% вредоносных бактерий, при этом не повлияв отрицательно на живые клетки.

Несмотря на такой успех, до использования 3D-печати в стоматологии еще далеко. Ученые из Голландии пока не готовы проводить клинические исследования антибактериальных зубов, зубы в рот человека имплантировать не планируют, да и не ясно, как именно распечатанный зуб среагирует на постоянное воздействие зубной пастой и щеткой. Впрочем, профессор Андрес Херрман из Университета Гронингена считает, что уже в ближайшем будущем «антибактериальные зубы» будут применяться в стоматологии. Тем более что уже сейчас 3D-модели зубов и челюстей активно применяются для обучения стоматологов и планирования операций. Кто знает, может быть, совсем скоро врачи будут печатать 3D-протезы зубов за считанные минуты, и протезирование станет проходить всего за одно посещение стоматолога.

Актуальные акции стоматологий
Предложение ограничено
Подробнее
Предложение ограничено
Подробнее
Предложение ограничено
Подробнее
Предложение ограничено
Подробнее
Предложение ограничено
Подробнее
Предложение ограничено
Подробнее
Предложение ограничено
Подробнее
Предложение ограничено
Подробнее
Предложение ограничено
Подробнее
100%
Предложение ограничено
Подробнее
20%
Предложение ограничено
Подробнее
20%
Предложение ограничено
Подробнее
Предложение ограничено
Подробнее
Предложение ограничено
Подробнее
Предложение ограничено
Подробнее
Предложение ограничено
Подробнее
Предложение ограничено
Подробнее
Осталось: 9 месяцев
Подробнее
Предложение ограничено
Подробнее
Предложение ограничено
Подробнее
20%
Предложение ограничено
Подробнее
Предложение ограничено
Подробнее
10%
Предложение ограничено
Подробнее
25%
Предложение ограничено
Подробнее
Предложение ограничено
Подробнее
30%
Предложение ограничено
Подробнее
Предложение ограничено
Подробнее
30%
Предложение ограничено
Подробнее
Предложение ограничено
Подробнее
Предложение ограничено
Подробнее
50%
Предложение ограничено
Подробнее
Осталось: 8 месяцев
Подробнее
Предложение ограничено
Подробнее
Предложение ограничено
Подробнее
Предложение ограничено
Подробнее
Предложение ограничено
Подробнее
Предложение ограничено
Подробнее
Осталось: 6 месяцев
Подробнее
Осталось: 6 месяцев
Подробнее
Предложение ограничено
Подробнее
Осталось: 2 месяца
Подробнее
Предложение ограничено
Подробнее
Осталось: 6 месяцев
Подробнее
Осталось: 9 месяцев
Подробнее
Осталось: 7 месяцев
Подробнее
Осталось: 7 месяцев
Подробнее
Осталось: 7 месяцев
Подробнее
Осталось: 7 месяцев
Подробнее
Осталось: 7 месяцев
Подробнее
Осталось: 7 месяцев
Подробнее
Осталось: 7 месяцев
Подробнее
Осталось: 10 месяцев
Подробнее
Осталось: 10 месяцев
Подробнее
Осталось: 10 месяцев
Подробнее
Осталось: 10 месяцев
Подробнее
Осталось: 7 месяцев
Подробнее
Осталось: 1 неделя
Подробнее
Осталось: 2 недели
Подробнее
Осталось: 2 недели
Подробнее
20%
Осталось: 1 неделя
Подробнее
Осталось: 1 неделя
Подробнее
20%
Осталось: 1 неделя
Подробнее
Осталось: 1 неделя
Подробнее
Осталось: 1 неделя
Подробнее
Осталось: 1 неделя
Подробнее

Протезирование при пародонтозе

Пародонтоз – это серьезное заболевание десен, вызывающее со временем убыль костной ткани и постепенное расшатывание и даже выпадение зубов. В связи с этим протезирование при пародонтозе необходимо, однако сопряжено с определенными трудностями.

Для установки несъемных протезов соседние с ней зубы не должны быть подвижными, иначе произойдет расшатывание протеза и обламывание опорных зубов. А съемные протезы недостаточно удобны, и при пародонтозе их, скорее всего, придется очень скоро менять из-за расшатывания соседних зубов.

ВАЖНО: Полные съемные протезы - это пластинчатые конструкции из акриловых пластмасс или нейлона, которые применяются при полном отсутствии зубов. Крепятся они за счет эффекта присасывания.

Протезирование при пародонтозе имеет следующие цели:

  • Исключить один или несколько зубов из процесса жевания
  • Зафиксировать расшатанные зубы
  • Восстановить зубному ряду функциональность
  • Нормализовать распределение жевательной нагрузки между зубами

Временное протезирование

Данная методика применяется, если протез нужно поставить на сильно шатающиеся зубы при давно развивающемся пародонтозе.

Обычно осуществляется временное шинирование – стягивание группы зубов в один блок, за счет чего сильно подвижные зубы исключаются из процесса жевания. С этой целью стоматологи применяют иммедиат-протезы или пластмассовые конструкции с шинирующими элементами.

Также временные протезы иногда ставят вместо удаленных зубов, чтобы приучить зубы к нормальной жевательной нагрузке и восстановить челюстную кость в том месте, где она начала атрофироваться.

Постоянное протезирование

Постоянные протезы, обычно несъемные, ставятся уже навсегда. Для этого необходимо соблюдение следующих условий:

  • Отсутствие кровоточивости и воспаления десен
  • Отсутствие налета и зубного камня
  • Отсутствие кариеса
  • Правильный прикус
  • Отсутствие пародонтальных карманов
  • Здоровые десны вокруг опорных зубов

Обычно при пародонте используются следующие постоянные протезы:

  • Бюгельные протезы со смыкающимися накладками и кламмерами с множеством звеньев, чтобы распределить нагрузку между зубами. При этом край десны остается доступным, и можно продолжать лечение
  • Базальные имплантаты, для которых атрофия костной ткани не имеет значения
  • Наложение на несколько зубов постоянных шин, которые связывают их между собой и предотвращают расшатывание
  • Несъемные мостики из металлокерамики, применяемые при сильном повреждении десен
  • Каповые аппараты
  • Передние зубы можно протезировать винирами

Льготы на протезирование

У людей пожилого возраста и некоторых других категорий людей, особенно подверженных риску потери зубов, есть возможность сэкономить на этой дорогостоящей процедуре. Бесплатное протезирование у нас в России предоставляется:

  • Участникам ВОВ
  • Детям-инвалидам
  • Неработающим пенсионерам
  • Инвалиды по состоянию здоровья
  • Ветеранам труда

Льготы могут получить следующие граждане:

  • Люди со среднедушевым доходом в два раза ниже прожиточного минимума
  • Участники ликвидации последствий взрыва на ЧАЭС
  • Люди, которые на первое января 2005 года стояли в очереди на бесплатную установку протезов

Среди всех этих лиц, разумеется, существует очередь. Как правило, инвалиды и ветераны ВОВ находятся на первом месте, а пенсионеры – на одном из последних. В очередь обязательно нужно встать, предоставив в органах соцзащиты все документы.

Также стоит учитывать, что все подготовительные к протезированию мероприятия, вплоть до обточки зубов, можно осуществить бесплатно по медицинскому полису. Качество таких услуг, правда, зачастую не очень высокое, как и качество льготных и бесплатных протезов.

Исследования ученых: Самый инновационный способ протезирования зубов

Некоторое время назад учеными был разработан новый метод протезирования зубов при помощи биоконструкционного материала из клеток десен человека. Ранее имплантаты не могли воспроизводить достаточно естественную корневую структуру, из-за чего челюстная кость вокруг имплантата иногда повреждалась.

Новейшим исследователем руководил Паул Шарп из Королевского колледжа Лондона. Результаты исследования ученые опубликовали в журнале Journal of Dental Research.

Исследователи поставили себе цель – производить биоинженерные зубы. Изначально они были сфокусированы на образование зачатков зубов по образцу эмбрионов, чтобы в виде сгустков клеток имплантировать эти зачатки в челюсть взрослых людей и активизировать развитие функциональных зубов.

Хотя окружающие среды эмбриона и человека сильно отличаются, зубные зачатки эмбриона вполне нормально могут развиваться во рту у взрослого человека. Так что если удастся идентифицировать подходящие клетки, то их можно будет комбинировать, чтобы ввести биозубы в клиническую практику.

Профессор Шарп считает, что нужно будет определить источники мезенхимальных и эпителиальных клеток у взрослого человека, из которых эти клетки можно будет получать в необходимых количествах для создания замены зубных имплантатов.

В ходе последней работы исследователи взяли образцы десен нескольких пациентов Зубного института Королевского колледжа Лондона, вырастили в лаборатории большое количество десневой ткани, а затем соединили ткань десен с клетками мышей, которые образуют зубы.В итоге ученые сумели вырастить гибрид человеко-мышиных зубов с дентином, эмалью и жизнеспособными корнями.

В итоге профессор Шарп сделал вывод, что эпителиальные клетки из десен взрослого человека вполне могут реагировать на стимулирующие рост зубов сигналы адекватно, чтобы сфрмировать коронку и корня зуба, и даже развить соответствующие дифференцированные типы клеток.

Таким образом, клетки эпителия теперь действительно являются вполне реалистичным источником для биозубов человека.

Оценить статью:

Отказ от ответственности: Этот материал не предназначен для обеспечения диагностики, лечения или медицинских советов. Информация предоставлена только в информационных целях. Пожалуйста, проконсультируйтесь с врачом о любых медицинских и связанных со здоровьем диагнозах и методах лечения. Данная информация не должна рассматриваться в качестве замены консультации с врачом.