Способы удаления зубного камня дома и как это делают в стоматологии

Как убрать зубной камень

Обновлено 4 мая 2021 г.

Стоматологии, в которых возможно удаление зубного камня

Содержание:

Зубным камнем специалисты стоматологии называют микробный налет на поверхности зубов, изначально имеющий мягкую консистенцию, но впоследствии частично или полностью минерализованный (поэтому происходит его затвердение). Зубной камень появляется по причине отсутствия своевременной и тщательной гигиены ротовой полости, где безостановочно происходит размножение патогенной микрофлоры, особенно после приемов пищи. Вопрос «Как лечить зубной камень?» не совсем корректен, так как специалисты его удаляют, а не лечат.

Если вовремя не удалять и не счищать еще мягкий зубной налет, вскоре запускается процесс его затвердения. По словам специалистов, это становится возможным благодаря пропитыванию налета слюной, точнее, ее минеральными солями. Частично процесс минерализации осуществляется за 10-16 часов с момента, когда появился налет, этот момент индивидуален.

Состав зубного камня

  1. Органические компоненты – от 10 до 30%. К ним относятся лейкоциты, микроорганизмы, клетки эпителия слизистой оболочки рта, белково-полисахаридные компоненты так далее;
  2. Неорганические компоненты – от 70 до 90%. К ним относятся карбонат и фосфат кальция.

Актуальные акции стоматологий
Предложение ограничено
Подробнее
Предложение ограничено
Подробнее
Предложение ограничено
Подробнее
Предложение ограничено
Подробнее
Предложение ограничено
Подробнее
Предложение ограничено
Подробнее
Предложение ограничено
Подробнее
Предложение ограничено
Подробнее
Предложение ограничено
Подробнее
100%
Предложение ограничено
Подробнее
20%
Предложение ограничено
Подробнее
20%
Предложение ограничено
Подробнее
Предложение ограничено
Подробнее
Предложение ограничено
Подробнее
Предложение ограничено
Подробнее
Предложение ограничено
Подробнее
Предложение ограничено
Подробнее
Осталось: 8 месяцев
Подробнее
Предложение ограничено
Подробнее
Предложение ограничено
Подробнее
20%
Предложение ограничено
Подробнее
Предложение ограничено
Подробнее
10%
Предложение ограничено
Подробнее
25%
Предложение ограничено
Подробнее
Предложение ограничено
Подробнее
30%
Предложение ограничено
Подробнее
Предложение ограничено
Подробнее
30%
Предложение ограничено
Подробнее
Предложение ограничено
Подробнее
Предложение ограничено
Подробнее
50%
Предложение ограничено
Подробнее
Осталось: 7 месяцев
Подробнее
Предложение ограничено
Подробнее
Предложение ограничено
Подробнее
Предложение ограничено
Подробнее
Предложение ограничено
Подробнее
Предложение ограничено
Подробнее
Осталось: 6 месяцев
Подробнее
Осталось: 6 месяцев
Подробнее
Предложение ограничено
Подробнее
Осталось: 2 месяца
Подробнее
Предложение ограничено
Подробнее
Осталось: 6 месяцев
Подробнее
Осталось: 8 месяцев
Подробнее
Осталось: 6 месяцев
Подробнее
Осталось: 6 месяцев
Подробнее
Осталось: 6 месяцев
Подробнее
Осталось: 6 месяцев
Подробнее
Осталось: 6 месяцев
Подробнее
Осталось: 6 месяцев
Подробнее
Осталось: 6 месяцев
Подробнее
Осталось: 9 месяцев
Подробнее
Осталось: 9 месяцев
Подробнее
Осталось: 9 месяцев
Подробнее
Осталось: 10 месяцев
Подробнее
Осталось: 6 месяцев
Подробнее
Заканчивается: в воскресенье
Подробнее
20%
Заканчивается: в воскресенье
Подробнее
Заканчивается: в воскресенье
Подробнее
20%
Заканчивается: в воскресенье
Подробнее
Заканчивается: в воскресенье
Подробнее
Заканчивается: в воскресенье
Подробнее
Заканчивается: в воскресенье
Подробнее
Осталось: 1 месяц
Подробнее
Осталось: 1 месяц
Подробнее
Осталось: 1 месяц
Подробнее

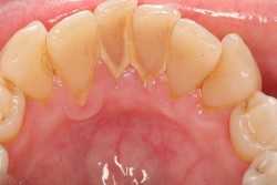
Виды зубных камней

Специалисты разделяют зубные камни (твердые отложения) на поддесневые и наддесневые:

  • Поддесневые зубные камни. Обычно локализованы ниже линии десны, поэтому при внешнем осмотре зубов не слишком заметны. Характерный признак поддесневых камней на зубах – отечность и кровоточивость, синюшный оттенок десен, возможен отток гноя из области пародонтального кармана, где находится зубной камень. Наличие подобных камней свидетельствует о пародонтите, нарушении связи зуба и десны, разрушении кости, окружающей зуб, в результате чего появляются пародонтальные карманы. Обнаружение таких камней возможно в процессе зондирования пародонтальных карманов или в ходе пародонтологических вмешательств, при этом их удаление – достаточно сложная задача;
  • Наддесневые зубные камни. Обычно локализованы выше линии десны, поэтому легко выявляются стоматологом при визуальном осмотре зубов, имеют желтоватый или темный налет, при этом легко поддаются удалению в профессиональных условиях.

Процесс образования зубного камня

После приема пищи в ротовой полости сохраняется большой объем остатков еды, используемых для жизнедеятельности патогенными бактериями, например, легкоусвояемые соединения углеводов после потребления мучных изделий и сладкой пищи. Специалисты утверждают, что при отсутствии гигиены полости рта в течение суток количество налета повышается в два раза.

Кроме того, бактериям пищевые остатки нужны для выработки энзимов, позволяющих создать плотное сцепление между зубами и микроорганизмами. При пропуске гигиенических процедур в ротовой полости отдельные скопления бактерий, прикрепившихся к зубной поверхности, объединяются, формируя обширное и плотное покрытие из зубного налета. На данном этапе бактериальный налет еще имеет мягкую консистенцию и легко удаляется зубной щеткой.

В дальнейшем начинается медленная минерализация мягкого налета на зубах, в итоге превращающая его в твердые зубные отложения. Разрастание зубного камня связано с процессом минерализации, когда соли кальция и белки из слюны оседают поверх бактериального налета с последующим наслоением минеральных солей и новых бактерий (по очереди).

Помимо прочего, зубной налет, состоящий из патогенных микроорганизмов, начинает активное выделение медиаторов воспаления и токсинов, запускающих патологические процессы в области десен. К числу базовых признаков воспаления десен специалисты относят следующие пункты:

  1. Болезненность в области десен;
  2. Наличие зубной подвижности;
  3. Синюшный оттенок или наличие покраснения десен;
  4. Кровоточивость, замеченная пациентом в процессе проведения гигиенических процедур;
  5. Отток гнойного содержимого из пародонтальных карманов.

Воспалительные процессы в деснах обеспечивают бактериям стремительное размножение и рост. Это возможно за счет того, что в зоне прилегания десен к зубам имеется зубодесневая бороздка, в которую непрерывно поступает в малых объемах специальная жидкость с высоким содержанием белков и солей, то и позволяет бактериям, по утверждению специалистов, увеличивать колонии.

Активизация воспалительных процессов в области десны вызывает увеличение продуцирования зубодесневой жидкости, что позволяет патогенным микроорганизмам получать большое количество питательных веществ. Это приводит к быстрой минерализации мягкого зубного камня. Очевидно, что процесс появления твердых зубных отложений вызывает воспаление десен, провоцирующее в свою очередь ускоренное формирование зубного камня, создавая цикл.

Удаление зубного камня

Чтобы удалить зубной камень, что нужно делать, а чего не стоит? Постараемся ответить на этот вопрос. Уже затвердевшие зубные отложения, в отличие от налета мягкой консистенции, не поддаются удалению с помощью привычной зубной пасты и щетки. Поддесневой и наддесневой зубные камни можно удалить только в стоматологическом кабинете, при этом бактериальный и не слишком заметный пигментный налет на поверхности зубов без проблем поддается ликвидации на дому.

Профессиональное очищение камня в стоматологическом кабинете

Как избавиться от зубного камня? Конечно, будет лучше всего, если пациент обратится к стоматологу. Профессиональная чистка зубного камня позволяет провести его удаление так, как убрать зубной камень не поможет ни одно средство, используемое в домашних условиях. В числе профессиональных способов удаления твердых зубных отложений специалисты особо выделяют ультразвуковой скалер. Удалить наддесневой зубной камень стоматолог может с поверхности всех зубов пациента примерно за час, удаление же поддесневых зубных камней требует не только высокой врачебной квалификации и опыта, но и выполняется за несколько посещений.

После того, как удастся избавиться от зубного камня, специалист должен выполнить полировку зубной поверхности при помощи полировочных паст и щеток либо путем проведения процедуры Air Flow, когда на поверхность зубов подается смесь воздуха и воды с частицами абразива. По словам специалистов, цена удаления зубного камня и полировки начинается от 100 рублей за зуб.

Инновации: Удаление зубного камня лазером

Специалисты утверждают, что лазерное удаление зубного камня сопоставимо с ультразвуковой чисткой зубов. Сначала стоматолог выполняет осмотр пациента и, если процедура не противопоказана, назначает ликвидацию твердых зубных отложений с помощью лазера.

Далее специалистом определяется охват проблемы. В большинстве случаев камень обнаруживается на поверхности 4-6 зубах, поэтому требуется их чистка с профилактической обработкой близлежащих к ним зубов. При плотных отложениях может проводиться не слишком актуальное на настоящий момент протравливание при помощи химических веществ, наносимых на зубы и разрушающих камень до хрупкого состояния с целью последующего его удаления.

После подготовительных мероприятий специалист начинает проведение лазерного удаления зубного камня, что делать лучше на начальных стадиях данной проблемы. Суть процедуры – во влиянии на влагу, которой в зубном налете намного больше, чем в эмали зубов, за счет чего происходит удаление именно зубных отложений без повреждения эмали. Результатом процедуры становится раздробление зубного камня, который остается лишь смыть водой.

Удаление зубного камня на дому

Стоит понимать, что применение химических средств и народных рецептов для очищения зубного налета не только неэффективно, но и опасно для здоровья десен и эмали. Качественно удалить уже затвердевший зубной и уплотненный пигментный налет в домашних условиях не представляется возможным. Более того, борясь с зубным камнем, вы можете при этом с высокой вероятностью повредить и здоровую эмаль зуба, ведь те срезства, которые воздействуют на камень, негативно воздействуют и на зубную эмаль, а изолировать ее в домашних условиях вы вряд ли сможете.

При частичной минерализации мягкого зубного налета и слабовыраженном пигментном налете эффективно использование следующих особых средств:

  • Электрическая зубная щетка;
  • Отбеливающая зубная паста высокого уровня абразивности;
  • Ультразвуковая зубная щетка.

В целом опытные специалисты не рекомендуют пытаться убрать сильный зубной камень дома – это может привести к повреждению эмали или воспалению десен.

Какие методы удаления зубного камня лучше

Редакция сайта 32-топ сравнила разные способы избавления от зубного камня, и выявила их преимущества и недостатки.

Удаление зубного камня дома

Плюсы

  • Нет необходимости посещать стоматолога и записываться на прием;
  • Обходится достаточно дешево, если уже есть средства для чистки.

Минусы

  • Очень плохо справляется с удалением зубного камня;
  • Есть шанс повредить эмаль.

Удаление ультразвуком

Плюсы

  • Очень эффективный метод удаления зубного камня;
  • Эмаль совсем не повреждается.

Минусы

  • Требуется посещение стоматолога;
  • Стоит достаточно дорого.

Лазерное удаление

Плюсы

  • Максимальная эффективность удаления камня;
  • Полностью исключено повреждение эмали.

Минусы

  • Стоит намного дороже других методов чистки.

ВАЖНО: В итоге можно сделать вывод, что если у вас уже образовался зубной камень, то все же лучше посетить профессионального стоматолога для полноценной чистки.

Часто задаваемые вопросы о зубном камне

Вопрос: Почему у меня очень быстро образуется зубной камень?

Ответ: Причины может быть две – плохая гигиена полости рта и особый состав слюны. Во втором случае вам придется смириться с этим и чаще ходить к врачу на профессиональную чистку.

Вопрос: Можно ли удалить зубной камень самому с помощью иглы?

Ответ: Нет, нельзя. Вы, скорее всего, не удалите камень, а вот эмаль точно повредите.

Вопрос: Может ли у ребенка появится зубной камень?

Ответ: Такое случае очень редко, в основном если ребенок полностью пренебрегает чисткой зубов.

Отзывы о разных методах удаления зубного камня

Сегодня для удаления зубного камня люди все чаще прибегают к ультразвуковой чистке. О ней отзываются очень хорошо – во время чистки люди не чувствуют ни боли, ощущая лишь некоторый дискомфорт (степень которого зависит от индивидуальных особенностей организма), а зубы действительно полностью избавляются от камня.

Иногда камень счищают при помощи AirFlow. Это чуть менее эффективно, и иногда болезненно по словам людей, зато стоит значительно дешевле. А вот лазерные технологии распространились еще не очень широко, поэтому отзывов о них мало, но в целом они весьма положительные.

Кое-кто, конечно, пытается очистить зубы и дома, однако методы домашней чистки оказываются неэффективны, и в основном удаляют только налет, но никак не камень. В итоге все равно приходится идти к стоматологу.

Автор: Матвиенко Жанна

Оценить статью:

Отказ от ответственности: Этот материал не предназначен для обеспечения диагностики, лечения или медицинских советов. Информация предоставлена только в информационных целях. Пожалуйста, проконсультируйтесь с врачом о любых медицинских и связанных со здоровьем диагнозах и методах лечения. Данная информация не должна рассматриваться в качестве замены консультации с врачом.