Порядок препарирования зуба для установки винира

Препарирование зуба под винир

Обновлено 24 ноября 2021 г.

Стоматологии, где возможна установка винира

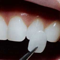
Препарирование зуба под винир – это специфическая процедура, подготавливающая зуб для закрепления винира и гарантирующая его долговечность. В большинстве случаев препарирование зуба под винир проходит в несколько этапов – обтачивание, собственно препарирование и снятие оттиска с зуба.

Перед тем, как на зуб установить винир, зуб требуется обработать особым образом, чтобы винир удалось нормально закрепить.

Препарирование производится в несколько этапов по поверхностям:

  • Вестибулярная поверхность
  • Апроксимальная поверхность
  • Режущий край
  • Небная поверхность (только если это необходимо)

Препарирование вестибулярной поверхности

Первый этап препарирования – это препарирование вестибулярной, то есть передней поверхности зуба. Сначала на нее наносятся поперечные борозды, которые ограничивают глубину сошлифовывания твердых тканей. Борозды наносят специальным калибровочным алмазным бором с диаметром около полумиллиметра.

После этого твердые ткани сошлифовывают на отмеченную глубину до тех пор, пока не будет создана ровная поверхность. В районе шейки зуба формируется специальный уступ, которые рекомендуется делать желобовидным. Уступ располагается на уровне десневого края.

Если зуб изменен в цвете очень сильно, то уступ погружают в зубодесневую борозду, но не дальше, чем на половину глубины.

ВАЖНО: Первый этап препарирования – это препарирование вестибулярной, то есть передней поверхности зуба. Сначала на нее наносятся поперечные борозды, которые ограничивают глубину сошлифовывания твердых тканей. Борозды наносят специальным калибровочным алмазным бором с диаметром около полумиллиметра.

 

Препарирование апроксимальных поверхностей зуба

Это препарирование может производиться двумя способами:

  • Первый, и более распространенный, когда границы препарирования выводятся с вестибулярной поверхности на боковые, чтобы при этом не нарушить межзубные контактные пункты. За счет этого сохраняется устойчивость и целостность зубного ряда. При этом способе на апроксимальных сторонах обязательно нужно сформировать вертикальные желобки, или пазы, глубиной полмиллиметра

  • Второй вариант предусматривает выведение границ препарирования на оральную поверхность зуба, с перекрытием межзубных контактных пунктов. За счет этого повышается ретенция винира и прочность, что необходимо при коррекции размеров и формы зуба

Актуальные акции стоматологий
Предложение ограничено
Подробнее
Предложение ограничено
Подробнее
Предложение ограничено
Подробнее
Предложение ограничено
Подробнее
Предложение ограничено
Подробнее
Предложение ограничено
Подробнее
Предложение ограничено
Подробнее
Предложение ограничено
Подробнее
Предложение ограничено
Подробнее
Предложение ограничено
Подробнее
100%
Предложение ограничено
Подробнее
20%
Предложение ограничено
Подробнее
20%
Предложение ограничено
Подробнее
Предложение ограничено
Подробнее
Предложение ограничено
Подробнее
Предложение ограничено
Подробнее
Предложение ограничено
Подробнее
Предложение ограничено
Подробнее
Осталось: 10 месяцев
Подробнее
Предложение ограничено
Подробнее
20%
Предложение ограничено
Подробнее
Предложение ограничено
Подробнее
10%
Предложение ограничено
Подробнее
25%
Предложение ограничено
Подробнее
Предложение ограничено
Подробнее
30%
Предложение ограничено
Подробнее
Предложение ограничено
Подробнее
30%
Предложение ограничено
Подробнее
Предложение ограничено
Подробнее
Предложение ограничено
Подробнее
50%
Предложение ограничено
Подробнее
Осталось: 9 месяцев
Подробнее
Предложение ограничено
Подробнее
Предложение ограничено
Подробнее
Предложение ограничено
Подробнее
Предложение ограничено
Подробнее
Предложение ограничено
Подробнее
15%
Предложение ограничено
Подробнее
Предложение ограничено
Подробнее
Предложение ограничено
Подробнее
Предложение ограничено
Подробнее
Предложение ограничено
Подробнее
Предложение ограничено
Подробнее
Осталось: 8 месяцев
Подробнее
Осталось: 8 месяцев
Подробнее
Предложение ограничено
Подробнее
Осталось: 3 месяца
Подробнее
Предложение ограничено
Подробнее
Осталось: 8 месяцев
Подробнее
Осталось: 10 месяцев
Подробнее
7%
Осталось: 9 месяцев
Подробнее
15%
Осталось: 9 месяцев
Подробнее
Осталось: 4 недели
Подробнее
Осталось: 4 недели
Подробнее
10%
Осталось: 8 месяцев
Подробнее
Осталось: 8 месяцев
Подробнее
Осталось: 8 месяцев
Подробнее
Осталось: 8 месяцев
Подробнее
Осталось: 8 месяцев
Подробнее
Осталось: 8 месяцев
Подробнее
Осталось: 8 месяцев
Подробнее
Осталось: 8 месяцев
Подробнее
Осталось: 8 месяцев
Подробнее
20%
Осталось: 4 недели
Подробнее
Осталось: 4 недели
Подробнее
Осталось: 4 недели
Подробнее
Осталось: 4 недели
Подробнее
Осталось: 4 недели
Подробнее
20%
Осталось: 4 недели
Подробнее
Осталось: 4 недели
Подробнее
Осталось: 4 недели
Подробнее
Осталось: 4 недели
Подробнее

Препарирование режущего края зуба

В этой ситуации также возможно два варианта – при препарировании режущий край либо сохраняется, либо перекрывается. Если требуется перекрыть режущий край, то его сошлифовывают на 0,5-1 мм, а иногда и на два миллиметра.

ВАЖНО: Препарирование завершается окончательной обработкой поверхности зуба специальными мелкодисперсными алмазными борами. Врач должен устранить все углы и острые края, которые образуются там, где одна поверхность переходит в другую.

 

Препарирование нёбной поверхности зуба

Если понадобится препарировать небную поверхность, то нужно очень четко определить глубину и границу препарирования. Глубина препарирования обеспечивает будущему виниру прочность, а граница ни в коем случае не должна заходить в зону окклюзионного контакта с зубом-антагонистом.

Если при препарировании перекрывается небная поверхность и режущий край, то винир становится более устойчив во время жевания и артикуляционных взаимоотношений.

Завершение препарирования

Препарирование завершается окончательной обработкой поверхности зуба специальными мелкодисперсными алмазными борами. Врач должен устранить все углы и острые края, которые образуются там, где одна поверхность переходит в другую. Именно на этих местах будет концентрироваться напряжение, которое может стать причиной поломки винира, да и в целом острые края мешают изготавливать и припасовывать конструкцию.

Получение оттиска

При изготовлении виниров в лаборатории требуется сделать все очень точно, и правильно отобразить рельеф тканей протезного ложа. Для этого с зубов снимают оттиски, причем существует множество методик, позволяющих это сделать. Врач выбирает оптимальный метод и по оттиску изготавливает винир. Иногда для оттиска нужно сделать ретракцию десны (если уступ сформирован в зубодесневой борозде), чтобы четко отобразить границу препарирования.

Оценить статью:

Отказ от ответственности: Этот материал не предназначен для обеспечения диагностики, лечения или медицинских советов. Информация предоставлена только в информационных целях. Пожалуйста, проконсультируйтесь с врачом о любых медицинских и связанных со здоровьем диагнозах и методах лечения. Данная информация не должна рассматриваться в качестве замены консультации с врачом.