Десневая улыбка: причины, методы коррекции десневой улыбки

Десневая улыбка, методы коррекции

Обновлено 22 августа 2017 г.

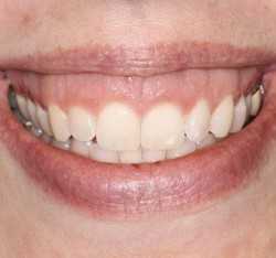
Десневая улыбка, или, если говорить по-английски, «gummy smile» - это улыбка, при которой открывается больше 2-х миллиметров верхней десны. Если обнажается два и менее миллиметров, то улыбка считается нормальной, а если верхнюю десну не видно вообще, и практически не видно нижних передних зубов, то такую улыбку считают идеальной, «голливудской».

Статистические исследования показывают, что 10-15% людей на земле обладают десневой улыбкой, то есть этот эстетический недостаток распространен достаточно широко.

Причины десневой улыбки

Чаще всего десневая улыбка формируется еще в детском возрасте, вместе с особенностями прикуса. Существует несколько причин десневой улыбки:

  • Короткая верхняя губа, неспособная прикрыть собой десну;
  • Гиперплазия десны – слишком большая десна, которая закрывает зубы сильнее, чем должна;
  • Аномалия лицевого скелета;
  • Нарушения прикуса, сопровождающиеся увеличением средней зоны лица и смещением верхних резцов вперед или вниз;
  • Повышенная активность круговой мышцы рта.


Коррекция десневой улыбки

Чтобы скорректировать десневую улыбку, следует приложить немалые усилия. Может потребоваться как ортодонтическое, так и хирургическое лечение – в зависимости от причины дефекта. В некоторых ситуациях даже приходиться прибегать к целому комплексу манипуляций, в том числе к косметическим процедурам.

Увеличение объема губ

Частично справиться с десневой улыбкой помогает увеличение верхней губы гелем. Такая процедура не только делает губу больше, но и немного уменьшит ее подвижность, за счет чего при улыбке губа не будет отодвигаться высокой вверх. При незначительном дефекте этот метод можно применять отдельно, но обычно его сочетают с другими, более радикальными процедурами.

Уколы ботокса

С недавних пор в борьбе с десневой улыбкой врачи стали пользоваться ботоксом. Дело в том, что если ввести препарат в носогубную складку, верхняя губа также потеряет подвижность и перестанет подниматься слишком высоко.

Френулопластика

Если говорить проще, то эта процедура называется пластической коррекцией уздечки. Она позволяет снизить подвижность верхней губы и немного ее удлинить. Френулопластика – это одна из простейших хирургических манипуляций в стоматологии, и именно ее чаще всего применяют для коррекции десневой улыбки.

Десневая пластика

Если причина десневой улыбки кроется в гиперплазии десны, то провести коррекцию можно безболезненно и просто – осуществить десневую пластику с помощью лазера. Стоматолог уберет с поверхности зубов лишние ткани и придаст десневому контуру правильную форму. Такая процедура абсолютно безопасна и занимает совсем немного времени, а результат дает действительно хороший.

Ушивание круговой мышцы рта

Если десневая улыбка возникает из-за высокой активности круговой мышцы рта, то можно провести хирургическую операцию по ее ушиванию.

Сначала пациенту делается местная анестезия. Затем под верхней губой вдоль всего зубного ряда делается надрез, через который и ушивается сначала круговая мышца рта, а после нее – слизистая, при этом лоскут немного смещается.

Данная операция травматичнее френулопластики, однако она на порядок эффективнее, так как позволяет расслабить мышечную ткань и дает прирост мягких тканей.

Исправление прикуса

Очень часто десневая улыбка возникает из-за неровного расположения зубов, то есть из-за неправильного прикуса, либо усугубляется этим дефектом. В этом случае хирургического или косметического вмешательства будет недостаточно – придется носить брекеты, чтобы придать правильное положение передним зубам.

Реконструктивная челюстно-лицевая хирургия

Если причиной десневой улыбки является аномалия лицевого скелета, то рекомендуется провести остеотомию верхней челюсти и остэктомию нижней челюсти. Остеотомия позволит переместить верхние зубы выше, на правильное место, а остэктомия, соответственно, придаст правильное положение нижней челюсти. Эти челюстно-лицевые операции обычно применяют для устранения тяжелых аномалий прикуса, но иногда их используют и в эстетических целях, например, для коррекции десневой улыбки.

Оценить статью:

Отказ от ответственности: Этот материал не предназначен для обеспечения диагностики, лечения или медицинских советов. Информация предоставлена только в информационных целях. Пожалуйста, проконсультируйтесь с врачом о любых медицинских и связанных со здоровьем диагнозах и методах лечения. Данная информация не должна рассматриваться в качестве замены консультации с врачом.